Finance
Atelektasis Gangguan Paru-Paru Yang Sering Tak Di Sadari
Atelektasis Gangguan Paru-Paru Yang Sering Tak Di Sadari

Atelektasis Adalah Kondisi Medis Ketika Bagian Atau Seluruh Sebagian Paru-Paru Mengalami Kolaps Atau Tidak Mengembang Dengan Sempurna. Akibatnya, pertukaran oksigen dan karbon dioksida di dalam paru menjadi terganggu, sehingga penderita dapat mengalami sesak napas dan penurunan kadar oksigen dalam darah. Kondisi ini bisa terjadi secara tiba-tiba atau berkembang secara perlahan, tergantung penyebabnya.
Salah satu penyebab utama atelektasis adalah sumbatan pada saluran pernapasan (bronkus), misalnya oleh lendir tebal, benda asing, atau tumor. Selain itu, tekanan dari luar paru — seperti akibat cairan pleura, trauma dada, atau pascaoperasi — juga dapat menyebabkan bagian paru tidak bisa mengembang. Atelektasis sering di temukan pada pasien yang baru menjalani operasi besar, terutama operasi dada atau perut, karena pernapasan yang dangkal akibat nyeri pascaoperasi.
Gejala atelektasis bervariasi tergantung luasnya bagian paru yang terdampak. Pada kasus ringan, mungkin tidak muncul gejala yang jelas. Namun, pada kasus berat, penderita dapat mengalami sesak napas, batuk, nyeri dada, napas cepat, serta kulit pucat atau kebiruan akibat kekurangan oksigen.
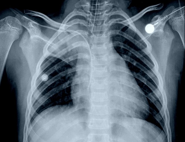
Diagnosis Atelektasis biasanya di lakukan melalui pemeriksaan rontgen dada, CT scan, atau bronchoskopi untuk mengetahui penyebab pasti dan luasnya kerusakan.
Pengobatan tergantung pada penyebab yang mendasarinya. Jika di sebabkan oleh lendir atau sumbatan, dokter dapat melakukan fisioterapi dada, teknik batuk efektif, atau prosedur penyedotan lendir. Pada kasus yang lebih serius, operasi atau penggunaan bronkoskop mungkin diperlukan untuk menghilangkan sumbatan. Selain itu, pasien disarankan melakukan latihan pernapasan dalam dan mobilisasi dini setelah operasi guna mencegah terjadinya atelektasis.
Pencegahan sangat penting, terutama bagi pasien pascaoperasi. Menjaga pola pernapasan yang baik, berhenti merokok, serta melakukan terapi pernapasan sesuai anjuran medis dapat membantu menjaga paru tetap sehat dan berfungsi optimal.
Atelektasis mungkin terdengar sederhana, tetapi jika tidak di tangani dengan cepat, dapat berujung pada komplikasi serius seperti pneumonia atau gagal napas.
Penyebab Utama Atelektasis
Atelektasis merupakan kondisi ketika sebagian atau seluruh jaringan paru-paru mengempis (kolaps), sehingga udara tidak dapat masuk dengan optimal. Kondisi ini dapat mengganggu proses pertukaran oksigen dan karbon dioksida, dan dalam kasus berat, bisa menyebabkan gangguan pernapasan serius. Untuk memahami dan mencegahnya, penting mengetahui berbagai Penyebab Utama Atelektasis.
Penyebab paling umum adalah sumbatan (obstruksi) pada saluran napas. Sumbatan ini dapat disebabkan oleh lendir kental (mucus plug) yang menumpuk, terutama setelah operasi besar, ketika pasien jarang menarik napas dalam. Selain itu, benda asing yang masuk ke saluran napas, seperti makanan atau mainan kecil pada anak-anak, juga dapat memblokir aliran udara ke paru-paru. Pada orang dewasa, tumor di bronkus atau paru dapat menjadi penyebab obstruksi kronis yang memicu kolapsnya bagian paru tertentu.
Selain sumbatan, penyebab lain adalah tekanan dari luar paru (non-obstruktif). Kondisi seperti penumpukan cairan di rongga pleura (efusi pleura), penumpukan udara di rongga dada (pneumotoraks), atau tumor di dada dapat menekan paru-paru sehingga tidak dapat mengembang sempurna.
Cedera dada, misalnya akibat kecelakaan, juga dapat menyebabkan nyeri hebat saat bernapas sehingga penderita cenderung mengambil napas pendek. Hal ini membuat bagian bawah paru tidak mengembang dan akhirnya mengalami atelektasis.
Faktor risiko lain termasuk anestesi umum selama operasi. Obat bius dapat menyebabkan perubahan pola napas dan relaksasi otot, yang membuat udara terperangkap di paru-paru. Karena itu, atelektasis sering di temukan pada pasien pascaoperasi, terutama operasi perut dan dada.
Kebiasaan merokok juga meningkatkan risiko, karena dapat merusak silia di saluran pernapasan yang berfungsi membersihkan lendir.
Dengan memahami penyebab-penyebab ini, pencegahan atelektasis dapat di lakukan lebih efektif, misalnya dengan latihan pernapasan setelah operasi, menjaga kebersihan paru, serta menghindari kebiasaan yang merugikan sistem pernapasan. Deteksi dan penanganan dini akan mencegah komplikasi serius seperti pneumonia atau gangguan oksigenasi darah.
Mengenali Gejala Sejak Dini Menjadi Langkah Penting
Atelektasis adalah kondisi ketika sebagian atau seluruh jaringan paru-paru mengempis (kolaps), sehingga udara tidak dapat masuk dengan sempurna. Akibatnya, pertukaran oksigen dan karbon dioksida terganggu. Meski sering kali tidak menimbulkan gejala pada tahap awal, atelektasis dapat berkembang menjadi masalah serius jika tidak segera di tangani. Mengenali Gejala Sejak Dini Menjadi Langkah Penting untuk mencegah komplikasi yang berbahaya.
Gejala atelektasis bergantung pada luasnya bagian paru yang terkena dan kecepatan terjadinya. Pada kasus ringan, penderita mungkin tidak merasakan keluhan yang berarti. Namun, pada kasus yang lebih parah, gejala akan tampak jelas dan dapat menyerupai gangguan pernapasan lain seperti pneumonia.
Salah satu tanda paling umum adalah sesak napas. Penderita sering merasa sulit mengambil napas dalam atau napas terasa pendek dan cepat. Selain itu, muncul batuk kering atau tidak produktif, terutama ketika atelektasis disebabkan oleh sumbatan lendir atau benda asing.
Nyeri dada juga sering dialami, terutama saat menarik napas panjang. Rasa nyeri ini muncul karena paru yang kolaps memberi tekanan pada jaringan sekitarnya. Gejala lain yang bisa muncul adalah napas cepat (takipnea), denyut jantung meningkat (takikardia), serta kulit atau bibir kebiruan (sianosis) akibat kekurangan oksigen.
Pada beberapa kasus, penderita juga dapat mengalami penurunan saturasi oksigen yang terdeteksi melalui pemeriksaan medis. Jika kondisi ini dibiarkan, dapat berujung pada kelelahan ekstrem, pusing, bahkan kehilangan kesadaran karena otak kekurangan oksigen.
Pada pasien pascaoperasi, gejala seperti napas dangkal, batuk lemah, atau rasa tidak nyaman di dada sering menjadi tanda awal terjadinya atelektasis. Karena itu, dokter biasanya menganjurkan latihan pernapasan dalam untuk mencegah paru mengempis.
Atelektasis bukanlah kondisi yang boleh diabaikan. Jika seseorang mengalami sesak napas mendadak atau batuk tak kunjung reda setelah operasi atau cedera dada, segera lakukan pemeriksaan medis. Deteksi dini dapat membantu mencegah komplikasi berat seperti pneumonia atau gagal napas.
Penanganan Kondisi Ini Perlu Di Lakukan Segera Untuk Mencegah Komplikasi Serius
Atelektasis merupakan kondisi ketika sebagian atau seluruh jaringan paru-paru mengempis, menyebabkan udara tidak dapat masuk secara optimal. Penanganan Kondisi Ini Perlu Di Lakukan Segera Untuk Mencegah Komplikasi Serius seperti infeksi paru (pneumonia) atau gagal napas. Metode pengobatan bergantung pada penyebab, tingkat keparahan, serta luas area paru yang terdampak.
Langkah pertama dalam pengobatan atelektasis adalah mengatasi penyebab utamanya. Bila kondisi ini di sebabkan oleh sumbatan lendir (mucus plug), dokter dapat melakukan fisioterapi dada. Yang melibatkan tepukan lembut di area dada untuk membantu mengeluarkan lendir. Teknik ini biasanya di barengi dengan latihan pernapasan dalam dan penggunaan alat spirometer insentif, yang membantu paru-paru kembali mengembang secara perlahan.
Jika sumbatan di sebabkan oleh benda asing atau tumor, prosedur bronkoskopi di lakukan untuk mengangkat penghalang tersebut. Pada kasus yang lebih berat, terutama akibat massa tumor, mungkin di perlukan tindakan bedah untuk membuka saluran udara yang tersumbat.
Bila atelektasis di picu oleh tekanan dari luar paru, seperti penumpukan cairan (efusi pleura) atau udara (pneumotoraks) di rongga dada. Dokter akan melakukan drainase menggunakan jarum atau selang kecil untuk mengeluarkan cairan atau udara tersebut, sehingga paru bisa mengembang kembali.
Selain tindakan medis, terapi oksigen sering di berikan untuk membantu meningkatkan kadar oksigen darah selama proses pemulihan. Penderita juga di sarankan untuk banyak bergerak setelah operasi dan melakukan batuk efektif agar lendir tidak menumpuk di saluran pernapasan.
Pada pasien yang mengalami atelektasis akibat anestesi pascaoperasi, dokter akan menganjurkan latihan pernapasan ringan secara rutin untuk mempercepat pemulihan paru.
Pencegahan tetap menjadi langkah terbaik. Menghindari rokok, menjaga kebersihan paru, serta aktif melakukan latihan pernapasan dapat menurunkan risiko atelektasis secara signifikan.
Dengan diagnosis dan pengobatan yang tepat, sebagian besar kasus atelektasis dapat pulih sepenuhnya tanpa menimbulkan kerusakan jangka panjang pada paru-paru Atelektasis.